¡CONFÍA TU SONRISA AL MEJOR EQUIPO!
+30
años de experiencia
+500
pacientes recurrentes
+10
cursos de actualización en los últimos 5 años
2
idiomas de atención:
español e inglés
SERVICIOS
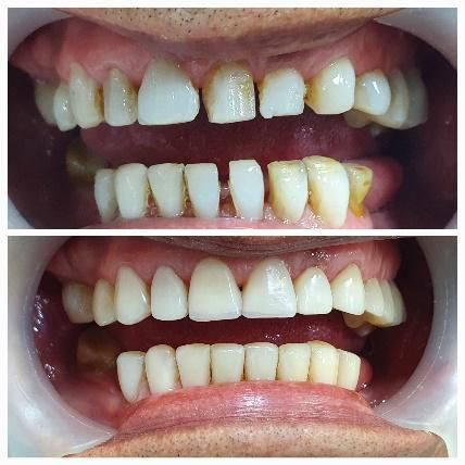
Diseños de Sonrisa
Técnicas avanzadas en odontología y mínimamente invasivas que garantizan un resultado natural y armonioso.
Carillas en Porcelana
Transforma tu sonrisa con carillas en porcelana de alta calidad, diseñadas para crear una apariencia natural y duradera.
Rehabilitación de Implantes
Mejora la estabilidad y función de tus implantes dentales con un enfoque cuidadoso y técnicas avanzadas.
Prótesis Totales y Parciales
Restaura la funcionalidad y estética de tu sonrisa con prótesis personalizadas, diseñadas para ajustarse cómodamente y brindar una apariencia natural.
Prótesis Fija
Recupera la forma y función de tus dientes con prótesis fijas de alta calidad, que se fusionan perfectamente con tu estructura dental existente.
Operatoria Dental
Trata las caries y restaura la salud de tus dientes con procedimientos de operatoria dental, que preservan la estructura natural y la estética de tu sonrisa.







